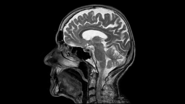
SERANGPOS – Seorang remaja 18 tahun di Faridabad, India, dilarikan ke Instalasi Gawat Darurat (IGD) Rumah sakit ESIC Medical College ketika mengalami kejang-kejang tak terkendali. Saat dokter memeriksa dengan alat magnetic resonance imaging (MRI) ada banyak bintik putih misterius di otaknya.
Drs. Nishanth Dev dan S. Zafar Abbas yang melaporkan kasus ini dalam jurnal NEJM menyebut sang remaja pertama kali datang ke IGD dengan mata kiri bengkak. Ia juga mengalami apa yang disebut kejang grand mal membuat otot-ototnya kaku dan hilang kesadaran.
Saat diperiksa dokter menemukan bintik putih yang ternyata adalah kista dari cacing pita Taenia solium. Seseorang bisa terinfeksi cacing ini ketika mengonsumsi daging yang tidak dimasak dengan matang.
Ketika telur cacing pita masuk ke tubuh biasanya larva cacing akan menetas dan berkembang di usus hingga dewasa. Namun tidak menutup kemungkinan larva menyebar ke bagian tubuh lain termasuk otak.
Pada kasus sang remaja dokter menemukan banyak kista cacing mulai dari bagian luar otak besar (serebral korteks) hingga ke dalam otak kecil (serebelum). Dokter bahkan menemukan kista cacing pita di mata kiri dan testis sang remaja.
karena jumlah kista cacing yang diperkirakan tidak terhingga, dokter memutuskan tidak melakukan pengobatan antiparasit. Alasannya karena pengobatan tersebut bisa memperparah perdarahan dan radang di tubuh sang remaja.
Gantinya sang remaja diberikan obat steroid, namun dua minggu dalam perawatan sayang nyawanya tidak tertolong.(detikcom)










